‘La infección por el virus de la influenza aviar altamente patógena A(H5N1) adquirida en Norteamérica puede causar una enfermedad grave en los seres humanos. La evidencia de cambios en la [proteína] HA que pueden aumentar la unión a los receptores de las vías respiratorias humanas es preocupante’. Esta es la conclusión del informedel caso de la niña de 13 años que estuvo en estado crítico en Canadá a causa de la gripe aviar H5N1 altamente patógena. Fue publicado el pasado martes, 31 de diciembre, en la prestigiosa revista médica ‘NEJM’. La secuencia de su virus H5N1 revela mutaciones que pueden estar relacionadas con una mayor virulencia y adaptación a la unión a células humanas de la gripe aviar.
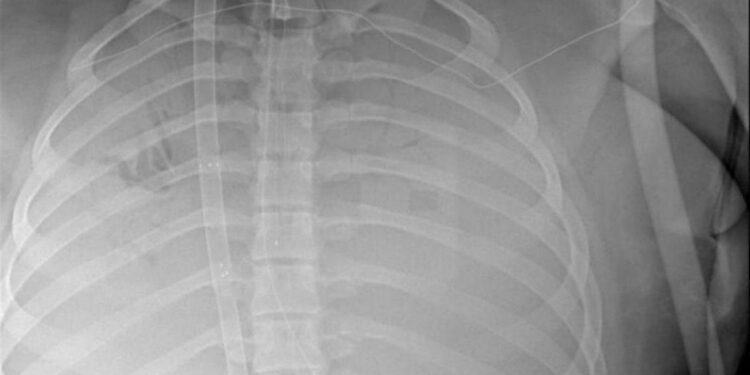
Este caso ha despertado gran interés al tratarse de una gripe muy grave, no conocerse cómo contrajo el virus y la evidencia de una posible adaptación viral a los humanos. La niña, con historial de asma leve y obesidad, acudió a urgencias en la provincia canadiense de Columbia Británica el pasado 4 de noviembre con conjuntivitisen ambos ojos y fiebre. Fue dada de alta sin tratamiento, pero después tuvo tos, vómitos y diarrea, y volvió a urgencias el 7 de noviembre. Presentaba dificultad respiratoria e inestabilidad hemodinámica. Al día siguiente fue trasladada a la uci pediátrica del British Columbia Children’s Hospital de Vancouver, con insuficiencia respiratoria, neumonía, lesión renal aguda y bajos niveles de plaquetas (trombocitopenia) y leucocitos (leucopenia).
La paciente presentó dificultad respiratoria aguda, por lo que el 9 de noviembre fue intubada y se inició la oxigenación por membrana extracorpórea (ECMO, por sus siglas en inglés), una técnica que se aplica a pacientes cuyos pulmones o corazón están gravemente dañados. La niña mejoró con una combinación de antivirales, terapia renal continua e intercambio de plasma. No se le retiró la intubación hasta el 28 de noviembre, y la ECMO hasta el 22 de noviembre.
2. Report of the 13-year-old Canadian girl who developed acute respiratory failure. Sequence of her H5N1 revealed 3 mutations that may be linked to higher virulence and adaptation to human cell binding pic.twitter.com/vawzzo39Kb
— Eric Topol (@EricTopol) December 31, 2024
El subtipo del virus (clado 2.3.4.4b, genotipo D1.1) se relacionó con el que circulaba en aves silvestres de la provincia en ese momento, aunque no se identificó la fuente de contagio. Se detectaron niveles virales más elevados en el tracto respiratorio inferior.
El análisis genético del virus reveló mutaciones en la proteína HA (E186D o E190D, Q222H) asociadas con una mayor unión a los receptores de las vías respiratorias humanas, facilitando la entrada y la replicación viral; así como una mutación (E627K) que marca adaptación a humanos.
Aunque no se detectaron otros casos de gripe asociados al de esta niña, estos marcadores de adaptación a los humanos causan preocupación sobre los riesgos para la salud pública. Este caso pone de manifiesto la posible gravedad de las infecciones por H5N1 en humanos, especialmente con patologías subyacentes, y subraya la necesidad de una mayor vigilancia e investigación sobre la adaptación y transmisión de este virus potencialmente pandémico.
En este pasado 2024 se contabilizaron en Estados Unidos y Canadá más de 60 casos humanos de gripe aviar H5N1, la gran mayoría leves. Se da la circunstancia de que el otro caso grave registrado en Estados Unidos (concretamente en el estado de Luisiana) tenía también, al igual que el caso de la niña de Canadá, la mutación E190D, un cambio en el dominio de unión al receptor celular que favorece la entrada del virus en los receptores celulares de ácido siálico alfa 2,6, los que tienen los mamíferos.
The number of severe #H5N1 cases originating in Canada remains at ONE
Also true for USA
BOTH cases have the receptor binding domain change E190D which favors alpha 2,6 (mammalian) receptors
it is flying under the radar and
when selected it is obscured (quite deliberately)
— Henry L Niman PhD @hlniman.bsky.social (@HNimanFC) December 31, 2024













